Pneumonia is more likely to affect young children and the elderly. Pneumonia isn’t just a disease that affects the elderly; according to UNICEF, pneumonia is a major cause of death in children under the age of five, killing over 700,000 of them, including 200,000 infants who are known to be particularly susceptible to infections.
Pediatric Pneumonia: Causes and Signs
An acute respiratory lung illness called pneumonia is spreadable. Bacteria, viruses, and very infrequently fungi are frequently to blame. Through touch with contaminated surfaces or droplet distribution through coughing or sneezing, it spreads through an infected individual (fomites). The baby can contract it during the newborn period by coming into contact with infected mother fluids before or during childbirth.
Due to the fluid-filled lungs of an infected youngster, breathing will be challenging. The most typical signs to be on the lookout for include coughing, fever, and breathing difficulties. They might be observed to breathe more quickly than normal or to experience lower chest retractions during breathing. When oxygen levels are insufficient, a kid may experience severe breathlessness and bluish coloring of the face or torso. Children, especially newborns, with weakened or undeveloped immune systems, as well as those who are malnourished, have chronic conditions like asthma, have issues with their lungs or airways, or have infectious diseases like HIV and are exposed to passive smoking, are more likely to get pneumonia.
Pneumonitis and air pollution
Children’s risk of developing respiratory illnesses, particularly pneumonia, can be significantly increased by ongoing air pollution. Air pollution is to blame for 50% of pediatric pneumonia fatalities. Today’s smog and air pollution provide a danger factor for youngsters and may even pose a greater threat if essential safeguards are not taken. It’s crucial to be aware that fuels used for cooking and heating at home are a major contributor to indoor air pollution.
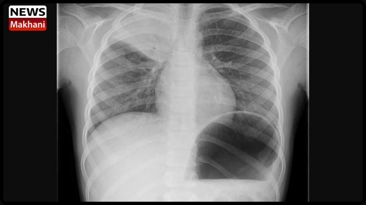
Children’s Pneumonia Diagnosis Pneumonia in children can be identified through physical examination, unusual breathing patterns, and a lungs-only listen. Blood tests and chest X-rays are also done to determine whether the youngster has pneumonia. It can sometimes be possible to tell if a child has pneumonia by monitoring how many breaths they take in a minute.
Managing and Treating Pediatric Pneumonia
Highlighting the fact that the kid may experience life-threatening risk factors as a result of pneumonia, such as respiratory failure and the spread of germs in the blood (sepsis). The type of the condition will typically determine the course of treatment for pneumonia. Antibiotics are the mainstay of treatment for bacterial pneumonia in children; for viral pneumonias, supportive care can be combined with antiviral medicines. The youngster must also drink enough of fluids, get plenty of rest, and check for fever frequently in addition to taking these medications.
Placing a humidifier or air purifier can be beneficial. If the situation worsens, the kid might need advanced respiratory support, such as supported breathing through a breathing machine, or additional oxygen (High flow nasal canula or Mechanical Ventilation).
Prevention of childhood pneumonia
Even though it’s thought that a child dies of pneumonia every 43 seconds, pneumonia can be avoided if the proper steps are performed at the appropriate time. These precautions include age-appropriate vaccines, prompt flu shots, adhering to good hygiene habits (covering mouth and nose while sneezing and coughing, washing hands with soap), getting enough nutrition, and decreasing air pollution, which can make the lungs more susceptible to illness. It is essential to nurse newborns to boost their immunity, get their shots on schedule, and maintain good cleanliness.

English






